CT尿路造影已成为一种新的无创检查方法。通过这种检查,患者可以同时获得显示肾脏、输尿管和膀胱的立体图像。
作者|孙超黑龙江省大庆市龙南医院
来源|医学影像诊断和干预渠道
泌尿系统是管道系统,只有管腔通畅才能维持泌尿系统的正常功能。管腔阻塞影响尿液的分泌和排泄,这是肾衰竭的常见原因之一。
泌尿系统内外的许多疾病都会引起管腔阻塞,可能位于肾脏、肾盂输尿管连接部、输尿管本身、输尿管-膀胱连接部、膀胱颈或尿道。梗阻离肾越近,肾积水越快。
在CT尿路造影之前,泌尿系统疾病的影像学检查主要依靠b超和腹部X线片。但这些检查易受腹部情况影响:b超易受腹腔气体影响,对输尿管的观察不满意;服装科x线平片无法观察泌尿系统细节,容易漏掉微小病灶。
一个
尿路梗阻的常见原因
一个
尿路结石
泌尿系结石是泌尿系统的常见病。结石可以在肾脏、膀胱、输尿管和尿道的任何地方找到。肾、输尿管结石可引起腰痛、血尿,而膀胱结石主要表现为排尿困难、排尿困难。

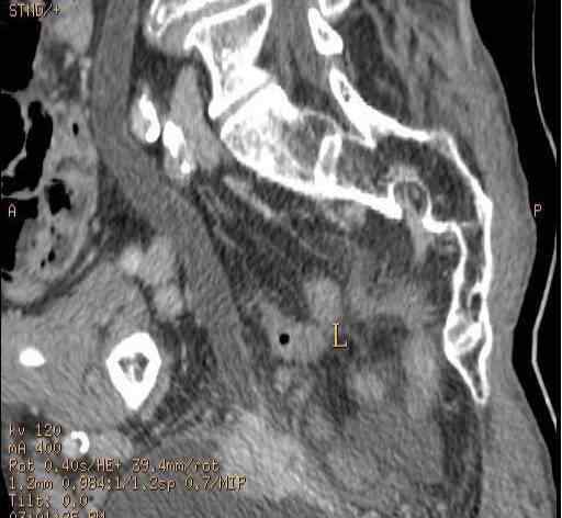
扫描后重建泌尿系统显示左侧输尿管中部有结石。

静脉注射造影剂后,经一定时间延迟后进行扫描重建,结石阴影与造影剂对比良好。
2
输尿管病变
①输尿管炎症:各种致病菌引起的输尿管壁炎性病变。
急性输尿管炎主要表现为粘膜化脓性炎症,而慢性输尿管炎可表现为输尿管壁扩张变薄,输尿管壁逐渐延长呈螺旋状,输尿管壁增厚、硬化、僵硬,肌纤维变性,导致整个输尿管狭窄、肾积水。


如上图所示,一名38岁女性出现发热、脓尿等症状,临床诊断为尿路感染。尿路造影显示输尿管下段(左侧)壁增厚强化均匀,考虑输尿管炎症的可能。
②输尿管肿瘤:血尿是输尿管癌最常见的症状,腰痛不常见。有的患者可能无症状,体检时超声发现肾积水就就医。


如上图,一名58岁的男子患有血尿。考虑到输尿管癌的可能性,尿路造影显示输尿管上段(左侧)有充盈缺损和轻度强化。
三
膀胱变化
①神经源性膀胱:控制排尿功能的神经系统受损(颅脑疾病或脊髓疾病后)引起的膀胱和尿道功能障碍。尿路梗阻或尿潴留是常见症状,并引起泌尿系统并发症,如肾积水和膀胱憩室。


如上图,63岁男性患者,有术后脑出血史,长期卧床不起,最近尿失禁。CT尿路造影显示膀胱壁增厚、膀胱憩室、双肾积水和双侧输尿管扩张。考虑神经源性膀胱的可能性。
②膀胱癌:是泌尿系统常见的恶性肿瘤。在某些情况下,癌症会阻塞输尿管的入口,导致肾积水。




上图:68岁男性,血尿待查。CT尿路造影显示左侧膀胱后壁增厚强化,堵塞左侧输尿管和膀胱入口,导致左侧肾积水和左侧输尿管扩张。考虑膀胱癌。
四
外部压力变化
如腹膜后或盆腔肿瘤压迫输尿管,宫颈癌、前列腺癌浸润膀胱后壁,造成单侧或双侧输尿管进入膀胱梗阻。


如上图,(左)肾盂癌压迫(左)输尿管上段。
2
尿路梗阻与相关疾病的鉴别
尿路梗阻需要与副甲状腺囊肿和肾盂外的梗阻相鉴别。后两者没有阻碍因素。
一个
骨盆旁囊肿
又称肾盂周围囊肿;起源于外界并侵犯肾窦的囊肿多为先天因素所致,组织学起源为肾实质或陈旧性泌尿囊肿。


如上图,体检b超显示肾积水,CT尿路造影。左图,平扫后重建显示(右)肾囊肿突入肾盂。右图,静脉注射造影剂后经过一定时间延迟,输尿管起始处(右侧)造影剂填充良好,肾盂内囊肿内无造影剂填充。
2
肾盂外
正常人的肾盂多位于肾窦内,成为肾盂;少数位于肾窦外,成为肾外肾盂。肾外肾盂是正常肾盂的一种,任何年龄都可以看到。


如上图所示,右极肾盂变宽并延伸至右肾盂外侧,其远端无梗阻因素,故考虑肾外肾盂。
1.《尿路梗阻 尿路梗阻,CT检查少不了!》援引自互联网,旨在传递更多网络信息知识,仅代表作者本人观点,与本网站无关,侵删请联系页脚下方联系方式。
2.《尿路梗阻 尿路梗阻,CT检查少不了!》仅供读者参考,本网站未对该内容进行证实,对其原创性、真实性、完整性、及时性不作任何保证。
3.文章转载时请保留本站内容来源地址,https://www.lu-xu.com/junshi/806213.html




