当你吃了一块薯片,喝了一杯冰的时候,你突然忘记在床上刷牙了:

算了,今天不刷了,这次也不比两次差

当你因为宝宝哭闹刷牙而发软时:

哦~别哭,别哭,咱们不刷了

当你认为你通常刷牙相当频繁时,牙线和洗牙可以省略:

我每天刷牙,所以我不需要刷牙。

来,今天的主题——烂牙奖励,看看最烂的牙能有多烂。

温馨提醒,以下图片可能会引起不适。心理承受能力差的请仔细阅读。

如果洗牙是在拆墙,

你见过矿工吗?

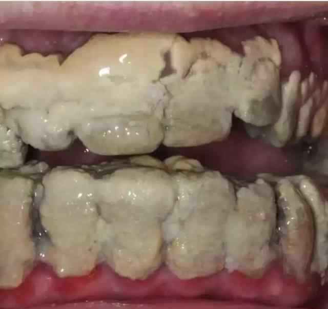
有些人可以洗牙减肥。看下面的图片,上面是20多年没刷过的牙齿。激动人心吗?洗牙前120斤,洗牙后115斤有什么视觉效果吗?

牙结石像谷物一样厚。一开始是无痛的,几乎没有意识到它的存在。久而久之,牙结石不断生长,占据你的口腔。如果什么都不发生,会刺激你的牙龈。

牙龈出血和牙龈发红都是牙结石造成的。时间长了,牙龈乳头都“吃光”了。洗牙后↓

还没完。放下牙结石。它从一个柔软的小女孩进化成了一个做各种恶的大硬汉。它不仅能繁殖更多的牙菌斑,还能吸收更多的细菌毒素。那么你的牙周病就会越来越严重。最后,你可能拔掉了这颗牙。

用保存了二十年的牙结石来告诉你不刷牙不洗牙的危害,有点偏激。再懒,几十年不刷牙。最多是刷子不到位,这样↓

更大↓

大到邻牙全蛀了↓

宝宝的乳牙就更无力了↓

这些都是只要好好刷牙就可以避免的,一根小牙线就可以预防。虽然用科普刷牙洗牙是常见问题,但说几次也不过分。真心希望大家关注自己的口腔健康。

1、补牙早,不耽误。

2.好好刷牙,定期洗牙。​​​​

1.《烂牙图片 世界上最烂的牙齿能烂到什么程度?》援引自互联网,旨在传递更多网络信息知识,仅代表作者本人观点,与本网站无关,侵删请联系页脚下方联系方式。

2.《烂牙图片 世界上最烂的牙齿能烂到什么程度?》仅供读者参考,本网站未对该内容进行证实,对其原创性、真实性、完整性、及时性不作任何保证。

3.文章转载时请保留本站内容来源地址,https://www.lu-xu.com/fangchan/1731442.html