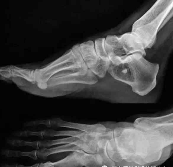
跟骨六处无法分辨的损伤。






结果:
1.跟骨骨髓窦
2.跟骨脂肪瘤
3.跟骨囊肿
4.跟骨动脉瘤样骨囊肿
5.跟骨骨髓窦
6.跟骨单眼巨细胞瘤
分析:
1.跟骨骨髓窦
骨髓窦是指松质骨中罕见的先天性小梁发育,各组小梁之间的小梁很少或缺失,形成一个空含骨髓的空腔,称为骨髓窦,是正常的解剖变异。最常见的骨髓窦是跟骨,简称跟骨窦,其次是股骨颈、股骨远端和髋臼上缘。
跟骨是足弓的重要支点,承受着自身的重量和负荷。为了满足承重的力学需求,跟骨的结构非常精密合理。小梁骨发育有三组:①从跟骨关节后部斜向后部和下部;②沿跟骨分布;③从脚跟结节向前伸展。三组小梁之间有三角形、圆形或椭圆形半透明区,即跟骨窦。
跟骨由不同密度的松质骨组成。跟骨沟下部有一个小梁稀疏区,位于后关节面前部下方。是尖端向上的不规则三角形区域,称为中性三角形区域。是跟骨机械结构的薄弱区域,少数人完全没有这个三角形的小梁。跟骨骨折跟部后关节面移位部分常被挤入此区。
x线表现
1.跟骨窦观察:首选侧位平片。其特点是位于跟骨前部中央,跟骨沟后,尖端向上,上部在足弓后,负重特定位置。窦底与跟骨下缘平行。跟骨下缘相当于窦底的皮质致密,呈带状或线形。窦内骨小梁罕见或缺失。边缘清晰整齐,无明显硬化。1-3厘米大小。营养沟有时可见于鼻窦。多数为单侧,少数为双侧对称发生。鼻窦周围骨质正常。
2.跟骨脂肪瘤:少见,肿瘤与骨髓关系密切,骨髓腔内可见圆形溶骨性破坏,边缘清晰,一般无硬化边缘,多数病灶无骨肿胀;随着病程的延长,脂肪瘤钙化的发生率为高靶点样钙化。
3.跟骨囊肿:
囊肿多位于跟骨后中部,与跟骨窦的位置不同
呈圆形或椭圆形,囊内无小梁骨,高度透明,有张力,壁明显,受损区干净透明
扩张生长,外围略硬
4.跟骨动脉瘤样骨囊肿
大多数患者年龄在20岁以下
它是一个扩大的囊性破坏区,囊内有厚或薄的小梁骨分离或骨嵴,使病变变成肥皂泡状、蜂窝状,外侧为薄骨壳。
5.跟骨骨髓窦
位于跟骨前部中央,跟骨沟后,足弓上部后,负重轻
窦底与跟骨下缘平行。跟骨下缘相当于窦底的皮质致密,带状或线状,无张力,无壁。
窦内骨小梁少见或缺失,边缘清晰整齐,无硬化。
6.跟骨单眼巨细胞瘤
肿瘤多位于跟骨后部,肿瘤中心多在跟骨窦后
受损区域边缘清晰,无骨间隔
骨皮质变薄,临床有疼痛。
提交邮件:gk@yxj.org.cn
投稿邮件主题为:医院+科室+姓名
1.《跟骨 跟骨6张图像,6个病变,你会被迷惑吗?》援引自互联网,旨在传递更多网络信息知识,仅代表作者本人观点,与本网站无关,侵删请联系页脚下方联系方式。
2.《跟骨 跟骨6张图像,6个病变,你会被迷惑吗?》仅供读者参考,本网站未对该内容进行证实,对其原创性、真实性、完整性、及时性不作任何保证。
3.文章转载时请保留本站内容来源地址,https://www.lu-xu.com/guonei/1755340.html