当前位置:首页 > 旅游指南

冷光美白牙齿 关于“冷光美白”那些事,这可能是最全的一篇!

什么是「冷光美白」?

冷光美白仪的原理是波长在480-520纳米之间的高强度蓝光通过两个已镀膜30次以上的光学镜片,去除所有有害的紫外线和红外线,使美白剂能在短时间内通过牙本质小管,随着色素在牙齿表面和深层沉积多年,产生氧化还原作用,使牙齿恢复到染色前的白度。

常见问题一扫而空

1.听别人说,洗牙也能美白牙齿?

洗牙是去除牙齿表面的牙菌斑、色素、牙结石等外源性附着物,恢复牙齿原有颜色,但不能改变原有颜色,而美白牙齿是通过化学反应使牙齿比原来更白。

所以重点是,洗牙不等于美白牙齿~

2.冷光美白牙齿疼吗?

“低温冷光”完全避免了术中刺激牙神经带来的不适;一般来说,牙齿美白技术的过程不会引起疼痛,只有少数人在治疗后可能会有轻微的不适,可以在短时间内消失。建议治疗后24小时内避免热饮或冷饮。

3.冷光美白牙齿浪费很多时间吗?

短短一个小时,多年的染牙就神奇地一扫而空;花的时间和你理发、修指甲或者下午茶差不多或者更短,就这么简单~

4.冷光牙齿美白效果能持续多久?

保存时间的长短因个人的饮食习惯和牙齿结构而异,一般可以保存一年左右。

5.牙齿可以变白到什么程度?

临床实验表明,效果平均可提高3-5个维他水平和4个维他水平;每个人的效果都会取决于自己原来牙齿的颜色和个人情况,最终会有一颗亮白的牙齿。

6.冷光牙齿美白技术安全吗?

在亲水性药物和完全非接触性牙龈的美白过程中,对牙齿结构和牙釉质不造成任何伤害,一次性,轻微刺激。这样就保证了效果和安全,绝对安全。所以,求美者不用担心冷光美白牙齿造成的伤害。

“冷光美白”适用症状

重度四环素牙伴牙釉质发育不良、氟斑牙,或其他因素引起的牙齿变色,需要在医生诊断下多次冷光美白治疗,才能获得一定的改善。

关于牙齿的外部染色,如咖啡、酱油、茶等。,冷光美白效果最好!

如果有以下情况,建议绕道

①冷光美白对“死髓牙”没用。需要做的是内部漂白,但是褪色快,会反弹。

②增白剂对补牙和烤瓷冠没有影响,所以做过瓷牙的人不要做冷光美白。

③重度氟斑牙伴牙釉质发育不良,或其他因素导致牙齿变色,可能对患者造成极大的不适,不宜冷光美白;至于四环素牙,美白剂对这类牙齿没有效果。

④16岁以下人群和重度牙周病患者不适合冷光美白。孕妇只要没有牙周炎,第四个月到第八个月都可以。

冷光美白后请注意护理

冷光美白后24小时内,牙齿很容易再染上有色物质,必须避免饮用茶、咖啡、可乐、红酒、莓果类饮料、有色牙膏、漱口水等及食用深色食物,同时要避免吸烟! 冷光美白后24小时内,牙齿很容易再次沾染有色物质。一定要避免喝茶、咖啡、可乐、红酒、覆盆子饮料、有色牙膏、漱口水、吃深色食物,还要避免吸烟!

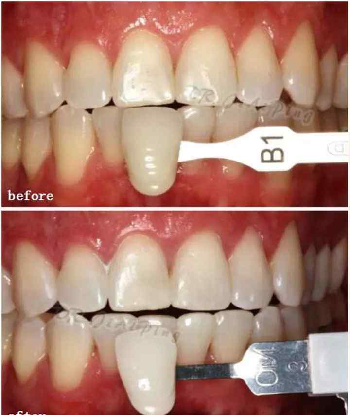
分享一个“冷牙美白”的真实案例

只需要45分钟就可以成功升级几个色阶,而且很容易有一颗白亮的牙齿。有图有真相

。结束。

本文转载自网络

转载仅供分享,如有侵权联系,删除

1.《冷光美白牙齿 关于“冷光美白”那些事,这可能是最全的一篇!》援引自互联网,旨在传递更多网络信息知识,仅代表作者本人观点,与本网站无关,侵删请联系页脚下方联系方式。

2.《冷光美白牙齿 关于“冷光美白”那些事,这可能是最全的一篇!》仅供读者参考,本网站未对该内容进行证实,对其原创性、真实性、完整性、及时性不作任何保证。

3.文章转载时请保留本站内容来源地址,https://www.lu-xu.com/junshi/1384557.html

上一篇

王健林坐地铁 王健林为什么乘坐地铁?

下一篇

彭敏身高 "诗词大会"种子选手彭敏:曾经落魄现在年收入可观

美白针可以维持多久 【美白针只一针么?】美白针怎么打?能维持多久?

  • 美白针可以维持多久 【美白针只一针么?】美白针怎么打?能维持多久?
  • 美白针可以维持多久 【美白针只一针么?】美白针怎么打?能维持多久?
  • 美白针可以维持多久 【美白针只一针么?】美白针怎么打?能维持多久?
鲨鱼牙齿 鲨鱼的牙齿

鲨鱼牙齿 鲨鱼的牙齿

人类有两对牙齿:乳牙和恒牙。乳牙20颗。从出生后6个月左右开始萌芽,3岁基本长大。6岁左右,乳牙开始逐渐脱落,恒牙开始萌出。恒牙32颗,是最后一对牙。恒牙脱落后,脱落部位不会有牙齿萌出。鲨鱼不一样。他们的牙齿不断脱落,改变了他们的一生。  鲨鱼...

冷酸灵 冷酸灵为啥能稳坐中国抗牙齿敏感市场头把交椅——一个持续十年的川渝合作故事

冷酸灵 冷酸灵为啥能稳坐中国抗牙齿敏感市场头把交椅——一个持续十年的川渝合作故事

丹顿牙科牙膏材料实验室。“辣、冷、甜、酸,想吃什么就吃什么”几乎是家喻户晓。它来自重庆产的一款正品牙膏——冷蒜灵。冷酸灵牙膏曾被誉为重庆轻工业的“五朵金花”之一。近年来,在牙膏领域激烈的市场竞争中,冷酸灵不仅失败了,而且在中国抗牙本质过敏市场上一直稳居榜首,占据了60%的市场份...

牙齿正常咬合 牙齿咬合正常的状态是什么样呢?

牙齿正常咬合 牙齿咬合正常的状态是什么样呢?

一个人的侧脸好看吗 主要是关于骨头的 这是我们的下颌骨发育和牙齿咬合之间的关系 如果根据一个人的侧骨来区分脸型, 主要分为直面型、凸面型和凹面型(从左到右) 如果牙齿不规则,可能是咬合功能有问题 它包括整个口腔颌面部系统,与牙齿、颞下颌关节、口...

玻尿酸美白 玻尿酸能抗衰老,烟酰胺能美白,但是乱用真的很可怕!

  • 玻尿酸美白 玻尿酸能抗衰老,烟酰胺能美白,但是乱用真的很可怕!
  • 玻尿酸美白 玻尿酸能抗衰老,烟酰胺能美白,但是乱用真的很可怕!
  • 玻尿酸美白 玻尿酸能抗衰老,烟酰胺能美白,但是乱用真的很可怕!

剑齿象 重庆巫山一村民地里挖出“怪兽牙齿” 或为剑齿象牙齿化石

罗文廷挖出的牙齿形状的石头。 通讯员 刘朝明 摄    华龙网4月28日20时40分讯长30厘米、重4斤7两的牙齿你见过吗?近日,重庆巫山县建平乡瓜瓢村的村民罗文廷在自家地理挖出了几块像牙齿又像石头的东西,而据重庆自然博物馆相关工作人员初步推断,罗文廷挖出的东西或为东方剑齿象的...

手部美白 如何手部美白?让手部美白有哪些美容秘方?

手部美白 如何手部美白?让手部美白有哪些美容秘方?

天然美白用品 不要总是问男人“你还爱我吗?” 其实你能感觉到,不是吗?当他不爱你的时候,他的话变少了,人变忙了,心变硬了。 01 当他爱你的时候,他和你有说不完的话 你总觉得他是个话匣子,因为他好像有说不完的话要跟你说。当他看到好笑的笑话时,他...

喝咖啡会变黑吗 喝咖啡会使皮肤变黑?牙齿变黄?颜值降低??

" 很多人,尤其是爱美的女生,喝咖啡的时候总会有点担心。因为你总会听到各种声音说咖啡会让你变胖,变黑变黄,等等。其实这些不都是对的,可以用另一种方式解决和改进。那么今天就来说说咖啡和面值... "  联系我们:...